小宝宝反颌可以用手按吗
在宝宝刚出生的时候,因为身体各方面都是比较稚嫩的,而且各个器官也处于发育的阶段,所以就需要家长以及大人们小心的呵护。所以在发现宝宝的身体有一点不好的情况的话,可能就会在着急的状态下采取不好的做法,那么小宝宝反颌可以用手按吗?

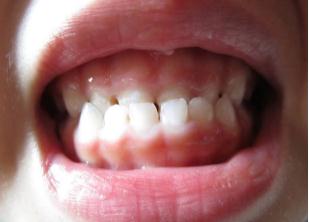
小宝宝反颌的情况是不能用手按的。因为反颌。实际上就是地包天,这是因为骨骼发育出现异常或者是牙齿排列异常所导致的,用手按是不能够起到治疗的效果的,而且还很有可能会造成局部的软组织损伤。所以建议家长们带宝宝去儿科检查一下,用专业的方法来进行矫正。
那么宝宝反颌怎么矫正呢
第一,如果是在乳牙期的话,能够尽早治疗的话,恢复的情况还是会比较好的,而且对孩子的心理发育也会更加的有利。
第二,如果是在替牙期的话,可以看一下上颌骨下颌骨是怎样的发育情况,如果说是上颌骨发育不好的话就需要进行上颌骨前方牵引,把后缩的上颌骨给拉出来。
一般来说如果要进行矫正的话,在四五岁的时候是比较好的一个阶段。但是具体的情况还是要看医生的建议的。






